Porcelain veneers have become one of the most sought-after cosmetic dental treatments in Southern California — especially in Los Angeles and Orange County, where esthetics, confidence, and image matter both personally and professionally. But not all veneer providers are created equal. For patients and referring dentists alike, selecting a prosthodontist — a specialist in esthetic and restorative dentistry — can make the difference between good results and truly exceptional ones.
What Makes Veneers So Transformative?
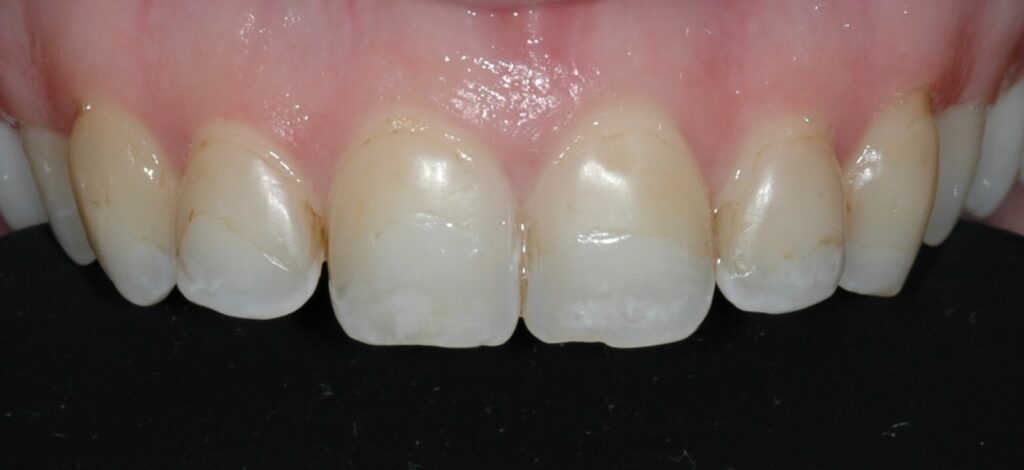
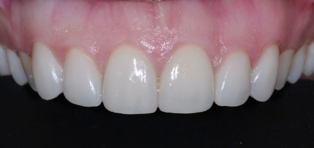
Porcelain veneers are ultra-thin shells of ceramic bonded to the front surfaces of teeth. They can correct a range of cosmetic concerns including discoloration, wear, gaps, misalignment, and irregular shape. Modern dental porcelain mimics the light-reflective qualities of natural enamel for the most lifelike result possible.
But achieving a beautifully balanced smile is as much about art and precision as it is about materials.
The Prosthodontic Advantage
1. Advanced Specialized Training
A prosthodontist, like Dr. Adam Geach at Geach Dental, completes three additional years of specialized residency beyond dental school focused on esthetic, reconstructive and implant dentistry. This training includes advanced principles of occlusion, smile design, functional dynamics, and material science that general dentists may not receive in depth.
For veneers, this means:
- A deeper understanding of how each tooth interacts with the bite and smile arc
- Precision in planning how veneers will function long-term, not just look good
- Careful assessment of underlying tooth structure to avoid unnecessary reduction of tooth enamel
2. Personalized Smile Design and Digital Planning
At Geach Dental, every veneer case begins with a comprehensive esthetic evaluation paired with advanced digital imaging. This allows the clinician and patient to preview proposed changes in shape, length, and proportion before any enamel is altered.


This collaborative process ensures:
- Custom design that complements facial features
- Predictable outcomes tailored to each patient’s goals
- Enhanced communication between patient, prosthodontist, and ceramist
3. In-House Laboratory and Master Ceramist Collaboration
One factor that sets Geach Dental apart is its in-house dental laboratory — meaning the ceramist who crafts veneers works directly with the prosthodontist every day. This team-based approach results in:
- Superior shade matching across lighting conditions
- Better control over surface texture and translucency
- Faster iteration and fine-tuning of esthetic details
The tight integration of design and fabrication allows for consistent, lifelike results that rival custom cosmetic work found in high-end esthetic markets.
4. Respect for Tooth Structure and Longevity
While veneers can be minimally invasive, improper preparation by inexperienced providers can remove more enamel than necessary, compromising longevity. A prosthodontist’s expertise in conservative tooth preparation aims to preserve as much natural structure as possible while optimizing the bond strength and function of the restoration.
This attention to detail is crucial in high-demand patients who expect durability in both function and appearance.
5. Functional Integration, Not Just Esthetics
The greatest veneer cases are those that look beautiful and function seamlessly. Prosthodontists are trained to evaluate the entire masticatory system — including bite forces and jaw dynamics — so that veneers not only enhance appearance but perform predictably in daily use.
What This Means for Los Angeles & Orange County Patients
Whether you’re a professional seeking a refined smile for your career, an individual pursuing a personal esthetic goal, or a referring dentist seeking reliable cosmetic outcomes, opting for a prosthodontist for veneers offers advantages worth considering.
In the Southern California context — a region known for its esthetic emphasis — achieving a smile that is both natural and enduring requires:
- Artistry grounded in science
- Individualized planning
- Precision execution
- Long-term functional stability




Choosing the Right Provider
Cosmetic dentistry is about more than “prettifying” teeth; it’s about creating balance between esthetics, health, function, and longevity. A Board Certified Prosthodontist like Dr. Geach combines the clinical expertise, artistic judgment, and advanced technology necessary to deliver world-class veneer results.
If you’re considering veneers for a smile transformation, consulting a prosthodontist ensures a tailored approach anchored in experience and precision — especially in esthetically discerning communities like Los Angeles and Orange County.
At Geach Dental in Downtown Los Angeles and Laguna Niguel, Orange County our team has extensive experience in cosmetic dentistry and veneers. If you are interested in enhancing your smile, we encourage you to contact Geach Dental at (213) 622-3339, or click to schedule a consultation. You deserve the best care.
Written by Adam Geach, DDS, MDSc – Prosthodontist at Geach Dental in Downtown Los Angeles and Orange County
ABOUT THE AUTHOR: Meet Dr. Adam Geach, distinguished prosthodontic specialist and owner of Geach Dental. His education includes Harvard School of Dental Medicine and The University of Connecticut, where he earned a DMD and MDSc in Prosthodontics, respectively. Dr. Geach holds Diplomate status with the American Board of Prosthodontics, underscoring his exceptional expertise in dental care.






