What Is a Smile Makeover?
A smile makeover focuses primarily on improving the appearance of your teeth and smile. Treatment is typically elective and may include:
- Porcelain veneers
- Professional teeth whitening
- Cosmetic bonding
- Invisalign clear aligners
- Minor gum contouring
For most esthetically driven patients in LA and OC, the goal is symmetry, brightness, ideal tooth proportions, and facial harmony.
Smile makeovers are ideal when:
- Teeth are healthy structurally
- Bite has not collapsed and is stable
- There is minimal wear or damage
- The patient’s primary concern is cosmetic
In these cases, veneers or whitening alone may achieve dramatic results.
What Is a Full-Mouth Reconstruction?
A full-mouth reconstruction (also called full-mouth rehabilitation) goes far beyond cosmetics. It addresses:
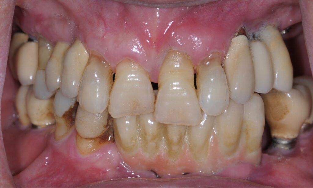
- Severely worn teeth
- Bite collapse
- Missing teeth
- Advanced erosion or grinding
- Failed dental work
- TMJ dysfunction
- Structural instability
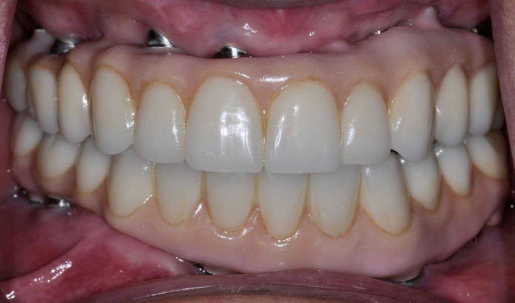
Rather than simply enhancing appearance, a full-mouth reconstruction restores health, function, and esthetics simultaneously.
This type of treatment often involves:
- Crowns and bridges
- Implant-supported restorations
- Occlusal rehabilitation
- Vertical dimension correction
- Periodontal therapy
- Complex prosthodontic planning
For many patients in Los Angeles full-mouth reconstruction cases, what appears to be a cosmetic issue is actually a functional one.
When Does a Smile Makeover Become a Full-Mouth Reconstruction?
Here’s where the distinction becomes critical.
1. When Bite Collapse Is Present
If teeth are worn down from grinding or acid erosion, simply placing veneers can fail long-term. The vertical dimension (height between upper and lower jaws) may need opening and restoration.
2. When Multiple Teeth Are Failing
If large fillings, cracked teeth, or missing teeth are involved, cosmetic veneers alone are not enough. The foundation must be stabilized first.
3. When Jaw Pain or TMJ Symptoms Exist
Esthetic dentistry without correcting occlusion can worsen painful symptoms. Comprehensive prosthodontic evaluation becomes necessary.
4. When There Is Severe Wear or Erosion
In high-functioning professionals throughout LA and OC, stress-related bruxism is common. If teeth are shortened significantly, reconstruction—not just a smile makeover—is required.
5. When Implants Are Needed
Replacing missing teeth with implants changes the treatment category from cosmetic to reconstructive. The case below shows how implants were used to reconstruct entire sets of teeth in both the upper and lower jaws.


Why a Prosthodontist Matters
The American Dental Association recognizes prosthodontists as specialists trained in complex restorative and implant dentistry.
A prosthodontist completes:
- 3 additional years of advanced training after dental school
- Extensive education in occlusion, biomechanics, esthetics, and full-mouth rehabilitation
- Advanced treatment planning for complex cases
For patients seeking prosthodontist smile makeover Los Angeles or full-mouth reconstruction Orange County, specialty-level planning ensures your results are not only beautiful — but durable and functionally sound.
The Los Angeles & Orange County Perspective
In highly esthetic markets like Beverly Hills, Newport Beach, and Downtown LA, patients often want perfection. However, chasing cosmetic improvements without addressing structural issues can lead to:
- Veneer failure
- Fractures
- Chronic pain
- Bite instability
A true smile transformation must balance:
- Facial esthetics
- Tooth proportion
- Gum architecture
- Functional occlusion
- Long-term stability
For many professionals and executives in LA and OC, investing in comprehensive reconstruction upfront prevents costly revisions later.
How We Evaluate at Geach Dental
At Geach Dental, smile design begins with:
- Digital smile analysis
- Full occlusal evaluation
- TMJ assessment
- Photographic and 3D imaging
- Diagnostic wax-ups
If your teeth are structurally sound, a Los Angeles porcelain veneers approach may be appropriate.
If we detect structural compromise, bite collapse, or failing restorations, we design a phased full-mouth reconstruction plan in Orange County or Los Angeles.
The difference is not cosmetic ambition — it’s functional necessity to protect the esthetics
The Key Difference
A smile makeover enhances what is healthy.
A full-mouth reconstruction rebuilds what is compromised.
Who Is a Candidate for Each?
Smile Makeover Candidates:
- Healthy teeth and gums
- Stable bite
- Cosmetic concerns only
- Mild spacing or discoloration
Full-Mouth Reconstruction Candidates:
- Severe wear or erosion
- Multiple failing restorations
- Missing teeth
- Chronic grinding
- Jaw discomfort
- Bite instability
Final Thoughts for Esthetically Driven Patients in LA & OC
If you are considering a smile makeover in Los Angeles or exploring full-mouth reconstruction in Orange County, the most important step is accurate diagnosis.
In competitive, high-performance environments like Southern California, your smile is an asset. But it must be built on a stable foundation.
Choosing a prosthodontist ensures your transformation is not only visually exceptional — but structurally designed for long-term function.
Written by Adam Geach, DDS, MDSc – Prosthodontist at Geach Dental in Downtown Los Angeles and Orange County
ABOUT THE AUTHOR
Meet Dr. Adam Geach, distinguished prosthodontic specialist and owner of Geach Dental. His education includes Harvard School of Dental Medicine and The University of Connecticut, where he earned a DMD and MDSc in Prosthodontics, respectively. Dr. Geach holds Diplomate status with the American Board of Prosthodontics, underscoring his exceptional expertise in dental care.





