When patients think about cosmetic dentistry, they often focus on what they can see: whiter teeth, straighter smiles, and beautifully shaped veneers. But what many don’t realize is that the most important part of a successful cosmetic result is something you can’t see—your bite, or occlusion.
At Geach Dental, we believe that true smile design is not just about aesthetics—it’s about function, longevity, and harmony. Without proper occlusion, even the most beautiful smile can fail.
What Is Occlusion—and Why Should You Care?
Occlusion refers to how your upper and lower teeth come together when you bite, chew, and move your jaw. It includes both static contact (when your teeth are together) and dynamic movement (how your teeth interact during jaw movement and function).
Your bite is not just about teeth—it’s a complex system involving:
- Teeth
- Jaw joints (TMJs)
- Jaw muscles
- Supporting bone and ligaments
When this system is in harmony, everything works comfortably. When it’s not, problems begin.
The Hidden Truth: Cosmetic Dentistry Without Function Fails
Modern materials like porcelain veneers, crowns and titanium implants are incredibly strong—but they are not indestructible.
Research consistently shows that occlusion plays a fundamental role in the long-term success of dental restorations, influencing both durability and stability.
If your bite is not properly designed, you may experience:
- Chipping or cracking of veneers
- Premature wear
- Tooth sensitivity or pain
- Jaw discomfort or headaches
- Failure of expensive dental work
In other words: A beautiful smile that doesn’t function properly won’t last.
Why Esthetics and Function Must Work Together
With the highest level of cosmetic dentistry, esthetics and function are inseparable.
A properly designed bite:
- Distributes forces evenly across teeth
- Protects restorations from overload
- Supports long-term stability
- Enhances comfort during chewing and speaking
In fact, ideal occlusion improves both function and esthetics simultaneously, ensuring restorations look natural and perform under real-life conditions.
This is where many cosmetic-only approaches fall short.
The Prosthodontist Difference: Advanced Training Matters
Prosthodontics is the only specialty recognized by the American Dental Association, focused on restoring function, comfort, and aesthetics through comprehensive treatment planning.
What sets a prosthodontist apart is advanced training in:
- Bite analysis and occlusal design
- Full-mouth rehabilitation
- Complex restorative cases
- Jaw joint (TMJ) relationships
- Long-term biomechanical planning
While many dentists can place veneers, few are trained to design a smile that functions in close harmony with the daily forces placed on the occlusal system.
Occlusion and High-End Smile Design
At Geach Dental, smile design begins with function—not just appearance.
Before placing veneers or crowns, we evaluate:
- Bite position and stability
- Wear patterns and parafunctional habits (like grinding)
- Jaw joint health
- Functional movement patterns
This allows us to create a custom occlusal scheme—a blueprint for how your teeth will work together.
For example:
- Front teeth guide movement and protect back teeth
- Back teeth handle heavy biting forces efficiently
- Interferences that cause damage are eliminated
This concept, often called “mutually protected occlusion,” ensures long-term protection of your smile.
Why This Matters in Los Angeles & Orange County
Patients in Los Angeles and Orange County are investing in high-level cosmetic dentistry—veneers, dental implants, smile makeovers, and full-mouth transformations.
These treatments are:
- Highly visible
- Financially significant
- Expected to last for years
Without proper occlusion:
- Even premium materials can fail
- Repairs and replacements become frequent
- The investment is compromised
With proper occlusion:
- Results last longer
- Comfort improves
- Your smile performs as beautifully as it looks
The Bottom Line: Beauty Without Function Is Incomplete
Cosmetic dentistry should never be just about appearance.
The best outcomes happen when:
- Esthetics + Function + Biology are all considered
- Your bite is designed—not guessed
- Treatment is led by expertise in prosthodontics
At Geach Dental, we don’t just create beautiful smiles—we create smiles that last.
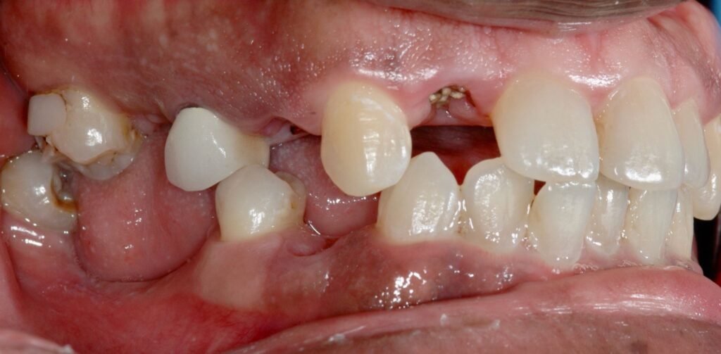
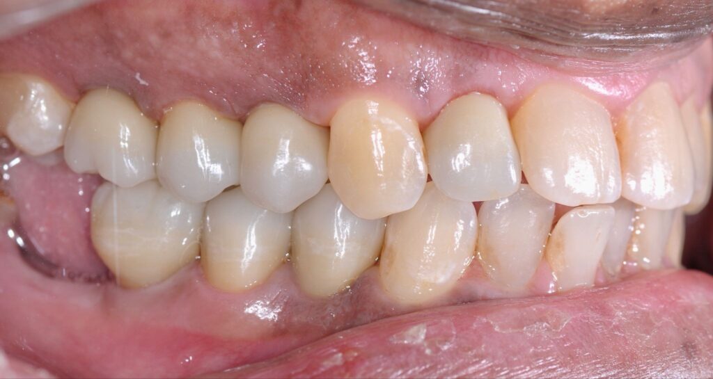
For example, in the case below, the patient presented with many missing teeth on both sides of the mouth. Dental implants were used to replace the missing teeth and stabilize the occlusion.
Carefully planned placement of dental implants allows for well-distributed forces and a functional occlusion that protects the front teeth and overall esthetics of the smile.
Before

After

Ready for a Truly Functional Smile Makeover?
If you’re considering veneers, crowns, dental implants or a smile makeover in Los Angeles or Orange County, the most important question isn’t just:
“Will it look good?”
It’s:
“Will it function very well for years to come?”
Schedule a consultation at Geach Dental to experience the difference that prosthodontic expertise and precision occlusion can make.
At Geach Dental in Downtown Los Angeles and Laguna Niguel, Orange County our team has extensive experience in cosmetic dentistry and occlusion. If you are interested in enhancing your smile, we encourage you to contact Geach Dental at (213) 622-3339, or click to schedule a consultation. You deserve the best care.
Written by Adam Geach, DDS, MDSc – Prosthodontist at Geach Dental in Downtown Los Angeles and Orange County






